Skip to Content

Recombinant Angola marburgvirus Glycoprotein minus the Transmembrane Region (MARV-Angola rGPΔTM) - 100 ug

https://www.gentaur.be/web/image/product.template/834/image_1920?unique=9682d1f
(0 review)

0.00 € 0.0 EUR 0.00 € Tax Excluded

info@gentaur.com

    This combination does not exist.

    Terms and Conditions
    30-day money-back guarantee
    Shipping: 2-3 Business Days

    Size

    100 ug

    Applications

    ELISA, WB

    Expression

    SF9 cells

    Purification

    Column chromatography

    Target

    Marburg Virus


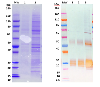
    Description: Mature, recombinant, His-tagged Angola marburgvirus Glycoprotein minus the transmembrane domain (MARV-Angola rGPΔTM) is supplied as purified protein. MARVAngola rGPΔTM is produced in Sf9 insect cells using baculovirus for expression and is purified by FPLC. 

    Storage: 2-3 weeks at -20◦ C, -80◦ C long term Size: 100 µg of protein supplied in PBS (supplemented with glycerol, arginine and glutamic acid) at a concentration of 0.334 mg/mL. 

    The theoretical molecular weight of the protein is ~60 kDa including the His-tag, without glycosylation. Because of the highly glycosylated nature of this protein, migration in an SDS-PAGE gel is slowed resulting in broad, diffuse bands representing differing glycosylation forms. 

    Relevance: Recombinant glycoprotein provides a means for antibody development, control protein for testing, and a tool to enhance research. Western Blot: Quality control testing demonstrates strong detection of GP null and GP2 under reduced conditions.